서울숙면치과, 은평구숙면임플란트

본문 바로가기
사이트맵
  • 서울숙면치과
    • 서울숙면치과
    • 의료진소개
    • 장비소개
    • 진료공간
    • 진료시간/오시는길
  • 숙면임플란트
    • 서울대출신전문의
    • 숙면임플란트
    • 네비게이션임플란트
    • 보험임플란트
    • 스트라우만임플란트
    • 포인트UV임플란트
    • 오스템임플란트
  • 숙면임플란트시술유형
    • 상아동거상술
    • 뼈이식임플란트
    • 전체임플란트
    • 재수술임플란트
    • 앞니임플란트
    • 틀니임프란트
  • 숙면치과치료
    • 숙면치과치료
    • 보철치료
    • 신경치료
    • 충치치료
    • 사랑니발치
  • 치아보험
    • 치아보험알아보기
    • 구비서류안내
  • 커뮤니티
    • 공지사항
    • 전후사진
    • 자필후기
    • 비급여수가표
    • 카카오톡상담

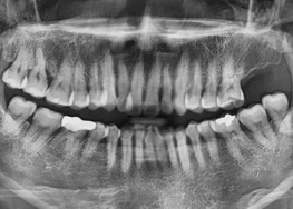
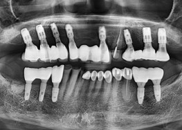
원인부터-제대로-파악하여-제대로-식립하는-서울숙면치과-재수술-임플란트
처음-식립-수술보다-더-어렵고-까다로운-수술이기-때문에-재수술-임플란트에-다양한-경험을-가진-의료진에게-치료받는-것이-중요합니다-재수술-임플란트-과정-1단계-3D_CT를-이용한-정밀한-치아-진단-2단계-문제가-된-기존-임플란트-제거-3단계-새로운-임플란트-식립-4단계-최종-보철물-장착-이런-분들께-필요합니다-신경-손상으로-인한-감각이상-임플란트-시술-후-유착-실패-보철물의-탈락-및-파손-관리-소홀로-인한-임플란트-주위염이-발생한-경우-심미적-만족도가-떨어져-기존-치아와-어울리지-않는-경우-임플란트-시술-후-통증이-지속되는-경우
서울대학교-출신-전문의-의료진의-수많은-임플란트-수술-경험-임상으로-검증된-정품-임플란트-재료-사용
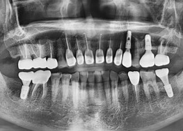
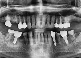
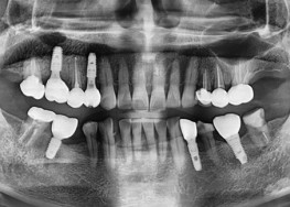
임플란트-치료-전후사진
서울대학교-출신-보건복지부-인증-통합치의학과-전문의-2인-책임관리
안전한-숙면치료를-위한-환자-모니터링과-안전-숙면-프로그램-구축
1인-1기구-사용-철저한-멸균-소독-프로그램
환자의-안전과-성공적인-치료결과를-위한-품질-높은-정품-재료-사용
치료에-대한-자신감을-바탕으로-철저한-사후관리와-진료-보증-제도
믿을-수-있는-의료진
안전-숙면-프로그램-구축
철저한-멸균-소독-프로그램
검증된-정품-재료-사용
치료-후에도-꼼꼼한-사후관리
주의사항-수술-후-완전히-지혈되기-전까지-입에-고이는-피와-침은-뱉지-마시고-가볍게-삼키세요-수술-후-1~2일-정도-수술-부위-주변에-일시적인-통증이-있을-수-있어요-수술-당일에는-충분한-휴식을-취하시고-뜨겁지-않은-부드러운-유동식을-드세요-수술-부위는-손가락-또는-혀로-만지지-않도록-조심하시고-수술-부위-외에는-평소대로-잇솔질-해주세요-수술-후-과격하나-운동-사우나-찜질방-반신욕-등은-일주일-정도-피해주세요-수술-후-한-달-동안-금주-금연해-주세요-숙면-임플란트-치료-후-구토-어지러움-등의-부작용이-나타날-수-있으며-숙련된-의료진에게-시술받는-것이-중요합니다

카카오톡채널 블로그 TEL-02-6351-2875-월수금-09:30부터-18:30까지-화목-09:30부터-21:00까지-토-09:30부터-14:00까지-점심시간-13:00부터-14:00까지-토요일-점심시간-없음-주소-서울-은평구-응암로-264-서울빌딩-3층-서울숙면치과의원-사업자번호-507-12-83937-서울숙면치과의원-대표-김현진-전화-02-6351-2875-팩스-02-6351-2876-COPYRIGHT-(주)숙면의기적-ALL-RIGHTS-RESERVED